むし歯
お口の中でも代表的な疾患で、歯が溶けてしまう病気です。
進行具合によって治療方法は様々ですが、レントゲンなどで進行具合を確認し、現在の状態や考えられる治療方法をご説明いたします。
小さいむし歯であるほど、治療に伴う痛みや負担は少ないでしょう。放置したむし歯の症状が進行してしまうと、削るだけでは治療しきれず、抜歯せざるを得なくなります。むし歯の大小に関わらず、以下のような症状が出て気になる場合は、早めに受診してください。
症状
- 痛みはないが歯に
黒い部分がある - 冷たいものや温かいも
のがしみる - 歯の間に食べ物が
はさまる - 歯に穴があいた
- 歯がズキズキ痛い
治療方法
進行具合や治療部位によって、つめ物をする・型を取って修復する・神経を取る・抜歯をするなど治療方法は様々です。当クリニックでは、状態によって適切な治療方法をご提案します。
型を取ってつめたり被せたりする際は、保険診療では銀歯にせざるを得ない場合もあります。銀歯はイヤという方、保険適用の白いつめ物やかぶせ物よりも丈夫でいいものをとお考えの方は、セラミックを用いた自費診療(保険適用外の治療)をご検討いただけますので、事前にお伝えください。
丁寧で痛みの少ない治療のために
何にしても、むし歯の治療は痛みを伴うことが多いですが、麻酔をして痛みをほとんど感じないようにしてから治療を行います。患者様の中には、麻酔をする際の痛みや恐怖が強い方も多いため、当クリニックでは以下のことを工夫し痛みの少ない治療を心がけています。

使用する器具の工夫
当クリニックでは麻酔の痛みを最小限にできるよう、使用する器具を工夫しております。
具体的には、麻酔をする際の針は、最も細い針を使い痛みを最小限にできるように取り組んでいます。
また、麻酔時は麻酔薬の注入速度が速すぎると痛みが生じやすいので、電動麻酔器を使いコントロールしております。

麻酔の方法
最も大事にしていることは麻酔の方法です。注射の方法一つで痛みの感じ方が違いますので、常に細心の注意をはらいながらの診療を心がけています。
一度むし歯になってしまうと自然に治ることはないので、治療するしかありません。大切なのは、むし歯にならないように予防することです。せっかく治療しても予防を怠ると、またむし歯になってしまいます。
当クリニックではむし歯予防にも力を入れております。
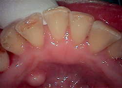
歯周病
お口の中でむし歯と並ぶ代表的な疾患で、歯を支えている顎の骨が溶けてしまう病気です。進行具合によって治療方針が変わりますので、レントゲンや歯周病の検査をして、現在の状態や治療方法をご説明いたします。歯周病は進行すると、抜歯するしかなくなります。むし歯より抜歯になるケースが多いのがこの歯周病です。
最近はテレビや雑誌など様々なところで歯周病についての情報を見かける機会が増え、自分が歯周病になっているのではないかと気にされている方もいらっしゃると思います。歯周病は、自覚症状が出てきたときにはかなり進行していることが多い病気です。以下のような症状がある方、症状がなくても気になる方は、早めに受診しましょう。
症状
- 歯ぐきから出血する
- 歯がぐらぐらする
- 歯ぐきが腫れる、痛い
- 口臭がきついと言われる
上記のような症状がなくても要注意です。
むし歯になりにくく歯科医院にあまり通院したことがない方で、気づかずに歯周病が進行している方も少なくありません。気になる場合は検査を受けることをお勧めいたします。
治療方法
歯周病の主な原因は歯垢や歯石です。また、かみ合わせの悪さや喫煙、糖尿病などの全身疾患も歯周病を進行させる原因の一つとなります。治療においては原因となるものを除去してあげることが大切です。歯科医院では主に歯石除去を行い、歯周病の進行をくい止めます。歯垢は歯石になる前の磨き残しで、細菌の塊です。歯垢は日々の歯磨きによって除去できますので、歯垢をためないように歯磨きを行うことがとても大切です。そのため、歯周病の治療には正しい歯磨きの仕方の練習や習慣づけが欠かせません。当クリニックでは患者様お一人お一人に合った歯磨きの仕方や、歯ブラシ・歯磨き粉の選び方について、歯科衛生士が詳しくご説明いたします。正しい歯磨きで、歯周病の進行を抑えましょう。
ただし、重度の歯周病でかなり進行した状態だと、くい止めることは不可能になるため、抜歯する必要があります。
一度溶けてしまった顎の骨は、基本的に元には戻りません。歯周病になってしまった場合、まずはそれ以上進行しないようにくい止めることが必要です。その後は、現状から悪化しないよう予防していきましょう。きちんと予防するために、定期的に歯周病の検査、歯石除去、歯磨きの確認などを行っていくことをお勧めいたします。
欠損補綴
(入れ歯やブリッジなどで、歯の失ってしまった部分を補う治療)
抜歯した部分(欠損部)をそのまま放置すると、隣の歯やかみ合う歯が動いてしまうため、かみ合わせ悪化の原因となります。また咀嚼機能が低下し、全身の健康にも影響を及ぼすと言われています。抜歯した部分は放置せず、入れ歯やブリッジなどで欠損部を補う治療を行いましょう。当クリニックでは患者様の欠損の状態に合わせた治療法をご提案し、患者様とご相談の上、治療法を決定していきます。
歯が抜けたまま放置する事の危険性について
歯並びが悪くなる
歯が抜けたまま放置することにより、空いているスペースに歯が移動したり傾いたりするなどして歯並びが悪くなります。
上下のかみ合わせが悪くなる
向かい合う歯を抜けたまま放置することにより、歯が移動しかみ合わせが悪くなります。今までかみ合っていた箇所さえ、上下のかみ合わせのバランスが崩れてしまいます。
発音が悪くなる
歯が抜けることでその間から空気が漏れ、発音が不明瞭となり自然な会話が成り立ちにくくなります。「さしすせそ」「たちつてと」等がうまく発音できなくなる可能性があります。
入れ歯(義歯)
欠損した部分に、着脱可能な人工の歯を入れる方法です。「入れ歯がうまく合わない…」と苦労されている方は、実は少なくありません。当クリニックではそれぞれの患者様に合わせた型取りのトレーを使用し、より精密な入れ歯の型取りをすることで、適合がよく違和感の少ない入れ歯を製作しています。部分入れ歯、総入れ歯、どのような入れ歯でも対応可能です。入れ歯で困っている方はぜひ一度ご相談ください。
ノンクラスプデンチャー 目立ちにくい入れ歯
保険適用で使用する入れ歯より違和感が少なく、入れ歯の欠点の一つである金属のバネが目立ちません。ノンクラスプデンチャーは、素材の違いでいくつかの種類に分かれ、それぞれに特徴があります。患者様のお口の状態に合わせ、より適した素材のものを使って製作していきます。入れ歯のバネが気になり、人前で思いきり笑えないなどのお悩みをお持ちの方は、ぜひ一度ご相談ください。
※自費診療(保険適用外の治療)の入れ歯です。
ブリッジ
欠損部の隣の歯を利用して、固定式のつながったかぶせ物を入れる方法です。デメリットもありますが、入れ歯と比べより自分の歯に近い感覚でしっかりかめるようになります。デメリットの一つ、ブリッジ装着のための銀歯が気になる場合は、セラミックを用いた自費診療の白い歯のブリッジを選択可能です。
保険適用の入れ歯とブリッジの違い
| メリット | デメリット | |
|---|---|---|
| 入れ歯 |
|
|
| ブリッジ |
|
|
※左右にスワイプするとすべての内容をご確認いただけます。
歯をきれいにしたい、白くしたい方へ
歯の色が黄色っぽくて気になる、銀歯が目立って気になる、差し歯をもっと自然な感じにしたいなど、口元の美しさや、歯のきれいさにお悩みを抱えている方のための治療です。
大きく分けて、歯のクリーニング、ホワイトニング(歯の漂白)、セラミックを用いた治療の3つに分類されます。
当クリニックでは患者様のお悩みをお聞きし、それぞれのお口の状態に合った治療法をご提案いたします。
歯のクリーニング(歯石除去)
毎日の食事で歯には少しずつ汚れが付着していきます。歯磨きをどんなに頑張っても細かい汚れを落としきるのは難しく、少しずつ蓄積してしまうものです。またお茶やコーヒーなど、歯の表面に着色しやすい飲み物や食べ物もたくさんあります。これらの汚れを除去することで、歯本来の白さ、輝きを取り戻しましょう。
クリーニングを定期的に行うことで、汚れや色がつきにくくなっていきます。当クリニックでは、着色しにくくなる歯磨き粉を販売しております。
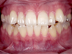
-
クリーニング前
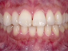
-
クリーニング後
着色が付きにくくなる歯磨き粉
アパガード リナメル
| 特徴: | 歯の表面にある細かい傷を埋めることで、歯垢や着色汚れをつきにくくします。 着色汚れを浮かせてやさしく落とす成分を配合しています。 |
|---|---|
| 価格: |
50g 1,100円(税込) 120g 2,300円(税込) |

ホワイトニング(歯の漂白)
ホワイトニングは薬剤を用いて、歯の色を白くする方法です。当クリニックでは、ご自宅にてご自身で行っていただく、ホームホワイトニングを実施しています。
1日2時間、約2週間で効果が実感できるでしょう。
※自費診療となります。
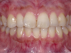
-
ホワイトニング前
-
ホワイトニング後
治療内容:上顎すべての歯のホワイトニング
治療期間:約2週間
料金:片顎 15,000円(税込)
考えられるリスクや副作用:しみる、効果に個人差がある
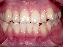
-
ホワイトニング前
-
ホワイトニング後
治療内容:上顎すべての歯のホワイトニング
治療期間:約2週間
料金:片顎 15,000円(税込)
考えられるリスクや副作用:しみる、効果に個人差がある
セラミック
保険診療による銀歯や、変色した前歯のかぶせ物を、セラミックを用いて白くきれいな物に変更する治療です。
セラミックの特徴として、耐久性に優れている、変色しにくい、汚れがつきにくいなどが挙げられます。また、金属を使わずに修復するため、金属アレルギーの方にもお勧めできる素材の一つです。
セラミックにはいくつかの種類があります。当クリニックではそれぞれの特徴をご説明し、患者様のお口の状態に合わせた治療法をご提案させていただきます。
※自費診療となります。
各セラミックの違い
-
オールセラミック
セラミックのみを用いた、かぶせ物やつめ物です。
-
ジルコニア
オールセラミックより硬く、金属に近い強度があります。
-
ハイブリッドセラミック
セラミックと保険適用の白いつめ物(レジン)を混ぜ合わせた材料を用いて作った、白いつめ物・かぶせ物です。
-
メタルボンド
内側が金属でできていて、表面にセラミックを使用している白いかぶせ物です。
各セラミック比較表
| オールセラミック | ジルコニア | ハイブリッドセラミック | メタルボンド | |
|---|---|---|---|---|
| 見た目の自然さ | S | A | B | B |
| 変色しにくさ | S | S | B | S |
| 耐久性 | A | S | C | A |
| からだとの調和 | S | S | A | B |
| 費用面 | 高 | 最高 | 安 | 中 |
※左右にスワイプするとすべての内容をご確認いただけます。
S:とても良い A:良い
B:まあまあ良い C:普通
※最近は奥歯の白いかぶせ物が保険適用になり始めました。
お口の中の状態によってできる場合とできない場合がありますので、診査の上、適用可能な場合は、メリット・デメリットとともにご提案いたします。
小児歯科
「子どもが生まれたけど、お口のケアをどうしたらいいか分からない」「自分はむし歯が多いから、子どもはむし歯にならないようにしてあげたい」、そのように思っていらっしゃる方も多いのではないでしょうか?
むし歯にならないためには、むし歯になる仕組みを知り、予防していくことが大切です。
「よく分からないけど、心配なので一度診てほしい…」といった内容のご来院でも構いません。何かあればどうぞご相談ください。
予防
具体的には歯磨きの仕方、食事(おやつ)の摂り方、フッ素塗布、予防充填処置(シーラント)などです。お子様の年齢、お口の中の状態によって、どのように予防していくかは変わってきます。1歳半くらいからの受診をお勧めします。
当クリニックのお子様への治療の取り組み
お子様の場合は、痛みがある治療が苦手だったり、恐怖心を抱くことが多いのでと当クリニックでは以下のことに気を付け、痛みの少ない治療や恐怖心をできるだけ取り除けるような対応を行い安心して通えるように工夫しております。
恐怖心を取り除けるように
お子様の場合、初めて来院する子などは、特にその場が怖くて泣いてしまう子や椅子に座れない子もいますので無理に治療を始めるのではなく、まずは恐怖心を取り除く対応を心がけています。
実際に使用する器具を見せながら使い方などを分かりやすく説明し、「怖くない」「大丈夫だよ」といったことを伝えるようにし、その後、実際の器具を使いながら、治療の練習をしていきます。
慣れてきたところで実際に治療を開始していきます。
その他にも、器具が目に入ると泣いてしまう子もいますので、なるべく視覚に入らないようにお口の中に運ぶようにし、治療中は出来るだけ見せないような対応を心がけています。
また、お子様が治療の待ち時間の間に、少しでもリラックスできるようにアニメのDVDを流しております。
痛みの少ない治療
麻酔をする際は、最も細い針を使い痛みを最小限にできるように取り組んでいます。また、麻酔時は麻酔薬の注入速度が速すぎると痛みが生じやすいので、電動麻酔器を使いコントロールしております。
-
むし歯
お子様がむし歯になってしまったら早めに受診してください。年齢や状態によって治療法は変わりますが、当クリニックでは初めてのむし歯治療でも、お子様にできるだけ恐怖心を抱かせないように工夫をしながら診療しています。
-
歯並び、かみ合わせ
お子様の歯並びやかみ合わせが気になるという方は多くいらっしゃいます。
当クリニックでは矯正治療は行っておりませんが、状態を診させていただき、矯正治療専門のクリニックをご紹介しますのでご相談ください。
また、反対咬合(うけ口)を改善するための装置(マウスピース)を取り扱っていますので、気になる方はおっしゃってください。
予防・定期検診
当クリニックではむし歯治療や歯周病治療などが一段落したら、定期的な歯石除去や、ブラッシングの確認を行いながら、むし歯予防・歯周病予防に努めています。せっかく治療をしても、しっかりメンテナンスを続けないとまたむし歯になってしまい、歯周病は悪化していきます。
歯の健康を守るために何よりも大切なのは、この予防対策と定期検診です。
「どのくらいの間隔がいいのか」という質問がよく寄せられますが、お口の中の状態、ブラッシングの状態などによって変わってきますので、当クリニックで判断し、その方に合った間隔をご説明いたします。
「一生、自分の歯を大切にしていきたい」方は、ぜひご利用ください。

